Vieiros

Vieiros de meu Perfil


Fwwwrando

RSS de Fwwwrando
Científicos canadenses

Descobren un método para reverter a perda de memoria

A descuberta sucedeu de forma accidental ao tratar os neurólogos o hipotálamo dun paciente para reducirlle o apetito.

Redacción - 11:35 30/01/2008
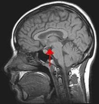
Situación do hipotálamo no cerebro

Situación do hipotálamo no cerebro

Científicos canadenses descubriron un mecanismo que podería axudar no tratamento dalgunhas enfermidades relacionadas coa memoria, segundo queda recollido na revista Annals of Neurology. A descuberta ocorreu accidentalmente, cando os expertos estaban a realizar unha exploración cirúrxica no cerebro dun home de 50 anos para intentar reducirlle o apetito e neutralizar a súa crecente obesidade.

En lugar de perder o apetito, o home recordou con exactitude detalles de feitos ocorridos cando tiña 20 anos e as probas posteriores demostraron que aumentara ademais a súa capacidade de aprendizaxe. Cando os médicos estaban a traballar no seu hipotálamo, vinculado coa sensación de fame, o paciente informou de que lle estaban a agolpárselle os recordos na memoria e a medida que se incrementaban os estímulos se ían volvendo máis claros.

A técnica que estaban a utilizar, consiste en inserir electrodos que estimulan certos sectores mediante pequenas cargas eléctricas. A estimulación cerebral aplícase dende hai máis de dez anos para tratar diversos trastornos, como a depresión, o Párkinson e outros males asociados ao movemento físico involuntario.

Sorpresa para os médicos

Os neurólogos continuaron coas probas durante tres semanas máis, tras o que concluíron que a estimulación do hipotálamo aumentou de forma considerábel a súa capacidade de aprendizaxe. Para os científicos foi unha sorpresa obter estes resultados xa que esta parte do cerebro non está vinculada directamente co proceso da memoria.

Actualmente, a técnica xa se está a aplicar a pacientes do mal de Alzheimer no Toronto Western, de Ontario.


  • 5 / 5
  • 1
  • 2
  • 3
  • 4
  • 5
5/5 (7 votos)


Sen comentarios

Novo comentario

É preciso que te rexistres para poder participar en Vieiros. Desde a páxina de entrada podes crear o teu Vieiros.

Se xa tes o teu nome en Vieiros, podes acceder dende aquí: